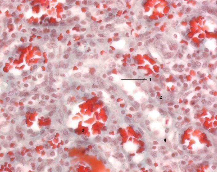
1 Milzsinus
2 Endothelzelle
3 Retikulumzelle
4 Erythrozyten in einem Milzsinus
[drucken] Drucken
[zum interaktiven Modus]