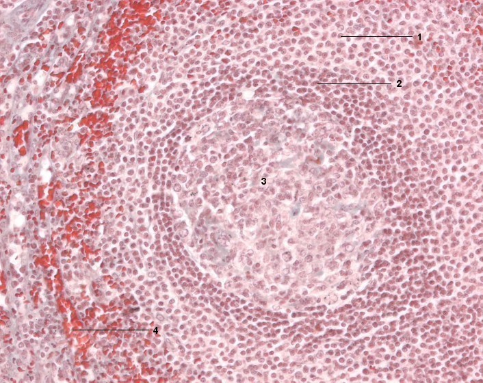
1 Milzfollikel (weiße Pulpa)
2 Lymphozytenwall (Randwall)
3 Reaktionszentrum
4 Rote Pulpa mit Milzsinus
[drucken] Drucken
[zum interaktiven Modus]