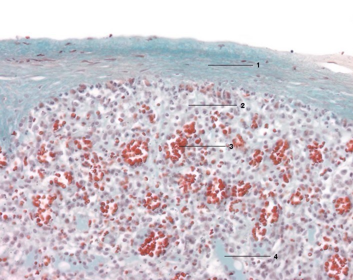
1 Kapsel (straffes kollagenes Bindegewebe)
2 Milzretikulum (retikuläres Bindegewebe)
3 Milzsinus mit Erythrozyten
4 Kollagene Fasern
[drucken] Drucken
[zum interaktiven Modus]