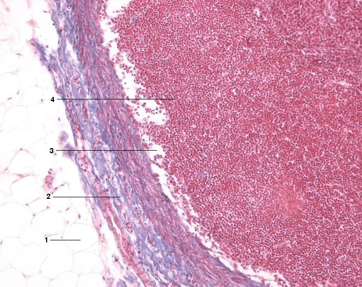
1 Univakuoläre Fettzelle
2 Kollagenfaserige Bindegewebskapsel
3 Randsinus, Marginalsinus
4 Rinde
[drucken] Drucken
[zum interaktiven Modus]