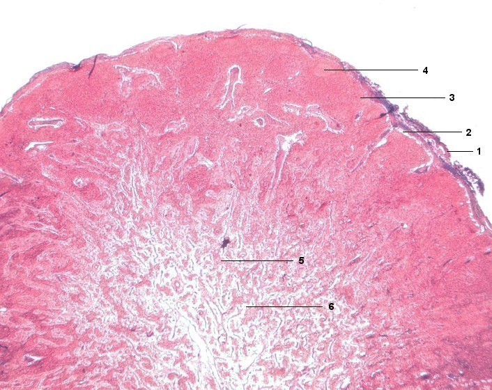
1 Kapsel
2 Randsinus
3 Rinde
4 Sekundärfollikel
5 Mark (Markstrang)
6 Marksinus
[drucken] Drucken
[zum interaktiven Modus]