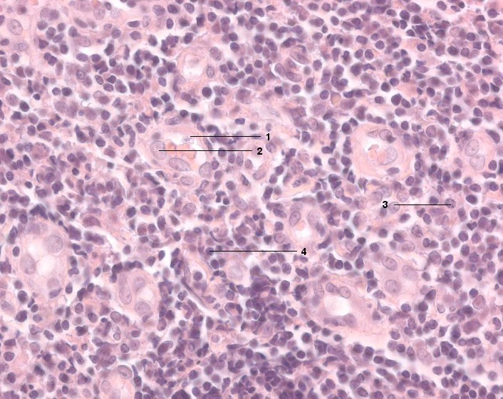
1 Postkapilläre Venole (high endothelial venule)
2 Isoprismatische Endothelzelle
3 Plasmazelle
4 Lymphozyt
[drucken] Drucken
[zum interaktiven Modus]