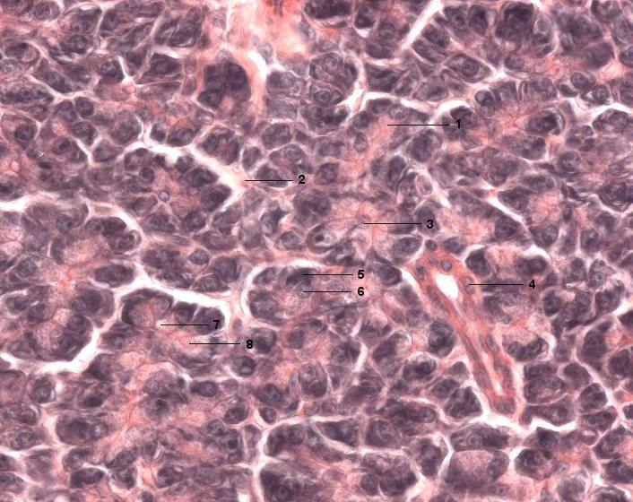
1 Exokrines Drüsenendstück (Azinus)
2 Intralobuläres Bindegewebe
3 Zentroazinäre Zelle
4 Schaltstück, Epithelzelle
5 Basophiles Ergastoplasma (rER)
6 Zellkern einer Drüsenzelle
7 Azinuslichtug
8 Apikales Zellareal mit Zymogengranula
[drucken] Drucken
[zum interaktiven Modus]