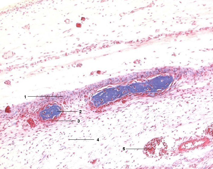
1 Periost
2 Knochenbälkchen (Osteoid)
3 Osteoblasten
4 Embryonales Bindegewebe (Mesenchym)
5 Venole
[drucken] Drucken
[zum interaktiven Modus]