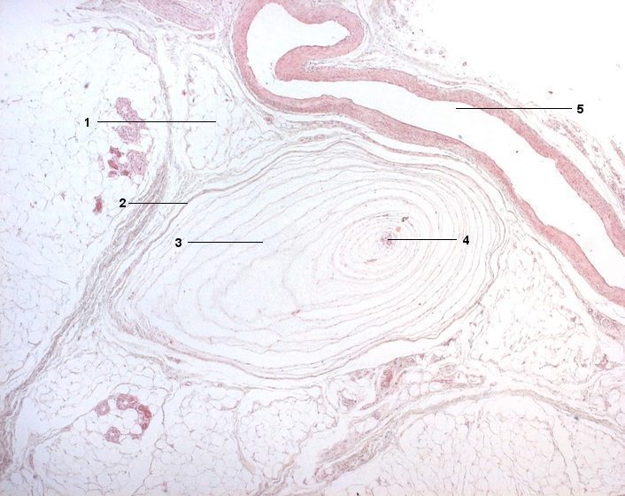
1 Subkutis, univakuoläres Fettgewebe
2 Perineurale Kapsel
3 Perineurale Lamellen
4 Innenkolben
5 Arterie
[drucken] Drucken
[zum interaktiven Modus]