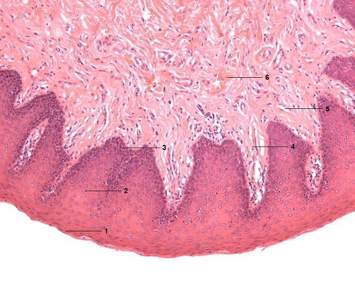
1 Epithel (Stratum superficiale)
2 Stratum intermedium
3 Stratum basale
4 Papille (Stratum papillare, Corium)
5 Kapillare
6 Kollagene Fasern
[drucken] Drucken
[zum interaktiven Modus]