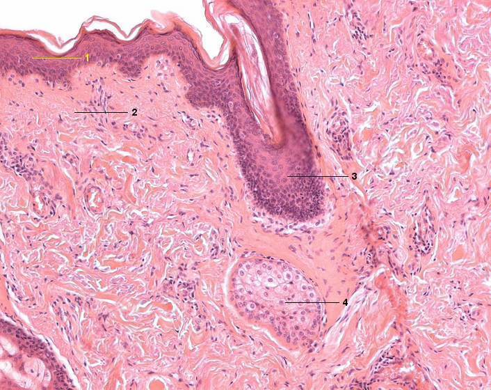
1 Gesichtshaut (Epidermis)
2 Corium
3 Haartrichter (äußere epitheliale Wurzelscheide)
4 Talgdrüse
[drucken] Drucken
[zum interaktiven Modus]