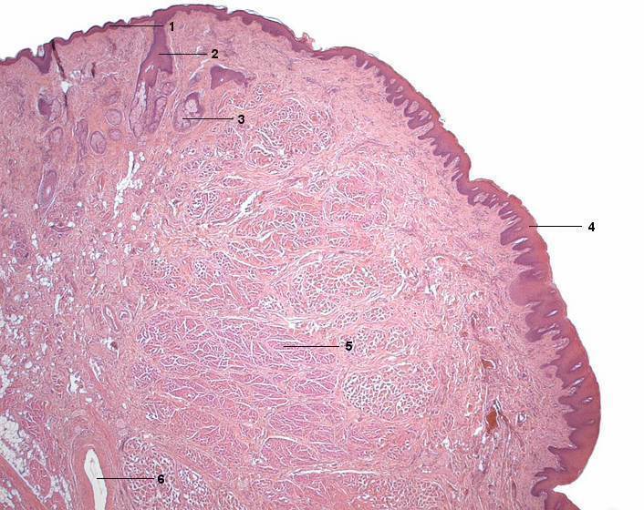
1 Gesichtshaut
2 Haar (Wurzelscheide)
3 Talgdrüse
4 Lippenrot
5 Musculus orbicularis oris
6 Ast der Arteria labialis
[drucken] Drucken
[zum interaktiven Modus]