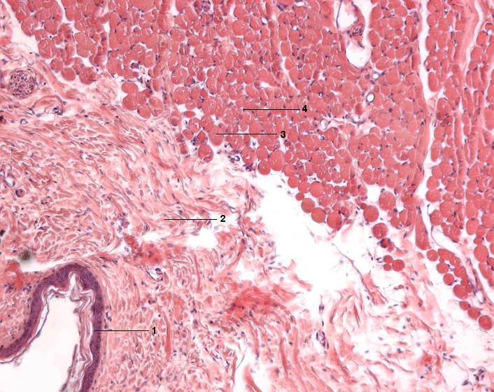
1 Epidermis
2 Bindegewebe
3 Skelettmuskelfasern (M. orbicularis oculi)
4 Zellkern einer Muskelfaser
[drucken] Drucken
[zum interaktiven Modus]