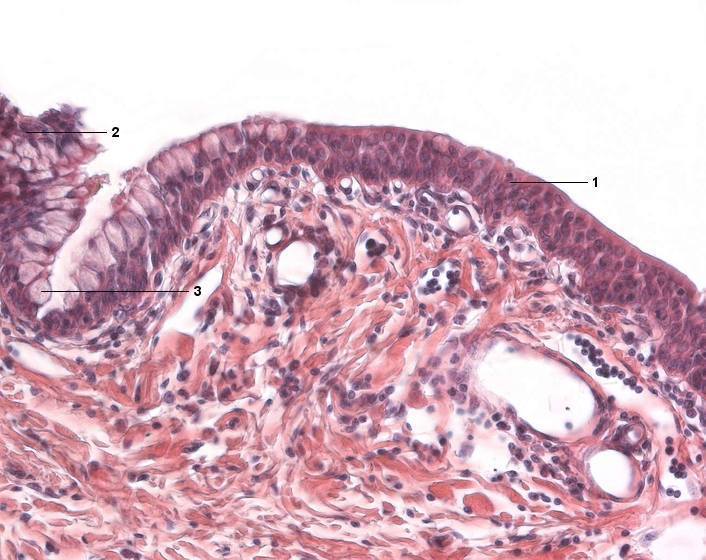
1 mehrschichtig unverhorntes Epithel
2 Epithel der Conjunctiva
3 Becherzelle
[drucken] Drucken
[zum interaktiven Modus]