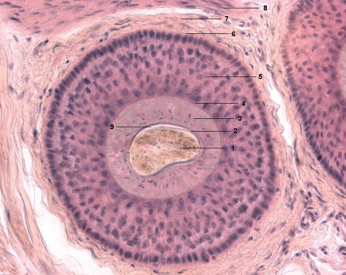
1 Haarschaft
2 Haarkutikula
3 Huxley-Schicht
4 Henle-Schicht
5 Äußere Wurzelscheide
6 Glashaut
7 Haarbalg (bindegewebige Wurzelscheide)
8 Glatte Muskelzellen des M. arrector pili
9 Beginn des Haartrichters
[drucken] Drucken
[zum interaktiven Modus]