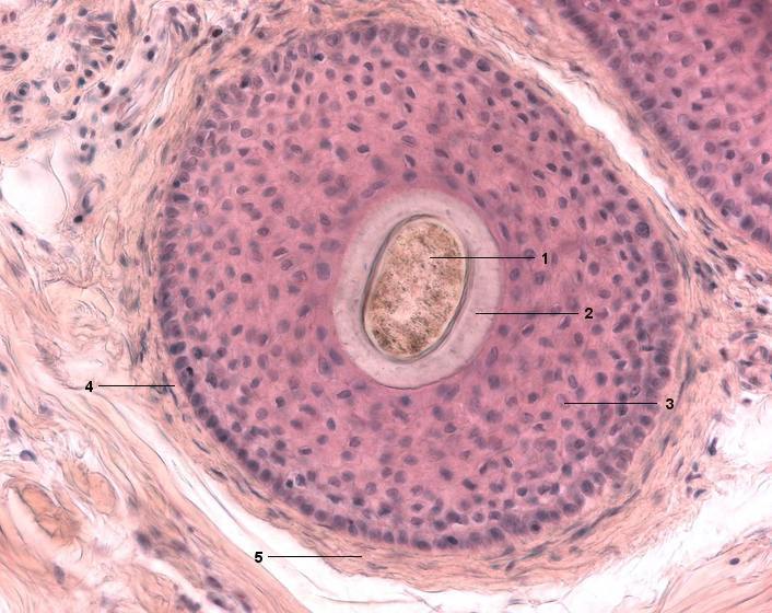
1 Haarschaft
2 Innere Wurzelscheide
3 Äußere Wurzelscheide
4 Glashaut
5 Haarbalg (bindegewebige Wurzelscheide)
[drucken] Drucken
[zum interaktiven Modus]