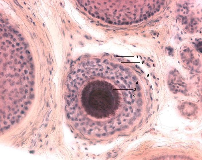
1 Haarrinde
2 Scheidenkutikula und Haarkutikula
3 Huxley-Schicht
4 Henle-Schicht
5 Äußere Wurzelscheide
6 Glashaut
7 Haarbalg (bindegewebige Wurzelscheide)
[drucken] Drucken
[zum interaktiven Modus]