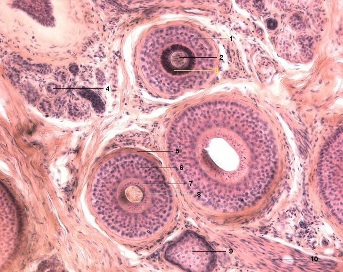
1 Haarzwiebel (Bulbus pili), quer
2 Haarpapille
3 Melanozyten
4 Ekkrine Schweißdrüsen
5 Haarbalg (bindegewebige Wurzelscheide)
6 Äußere Wurzelscheide
7 Innere Wurzelscheide
8 Haarschaft
9 Talgdrüse
10 M. arrector pili
[drucken] Drucken
[zum interaktiven Modus]