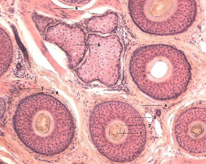
1 Haarschaft
2 Haarwurzel, innere Wurzelscheide
3 Äußere Wurzelscheide
4 Dermales Bindegewebe
5 Talgdrüse, Talgkolben
6 M. arrector pili
7 Ansatz eines M. arrector pili am Haarbalg
8 Haarbalg (bindegewebige Wurzelscheide)
[drucken] Drucken
[zum interaktiven Modus]