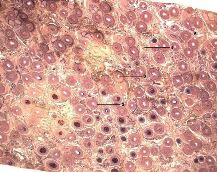
1 Haarzwiebel
2 Haarwurzel (Wurzelscheide)
3 Haarschaft
4 Bindegewebe
5 M. arrector pili
[drucken] Drucken
[zum interaktiven Modus]