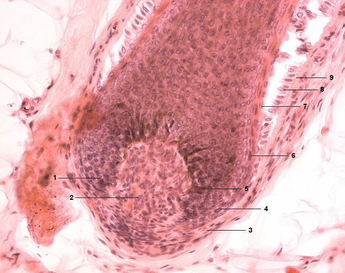
1 Haarzwiebel (Bulbus pili)
2 Haarpapille
3 Haarbalg (bindegewebige Wurzelscheide)
4 Scheidenkutikula und Haarkutikula
5 Melanozyten in der Haarrinde
6 Huxley-Schicht
7 Henle-Schicht
8 Äußere Wurzelscheide
9 Glashaut
[drucken] Drucken
[zum interaktiven Modus]