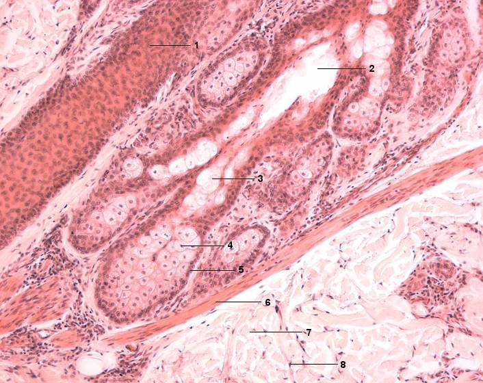
1 Haarwurzel (Wurzelscheide)
2 Ausführungsgang der Talgdrüse
3 Talgdrüse, Sekret (Talg, Sebum)
4 Sebozyt
5 Ersatzzellen, Basalzellen
6 Glatte Muskelzellen des M. arrector pili
7 Corium
8 Fibrozyt
[drucken] Drucken
[zum interaktiven Modus]