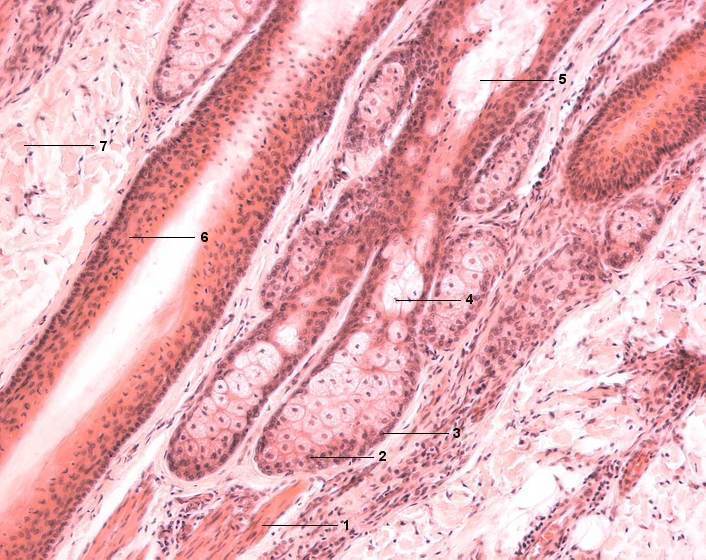
1 M. arrector pili
2 Holokrine Talgdrüse (Talgkolben)
3 Basalzellen, Ersatzzellen
4 Sekretgefüllte Zelle (pyknotischer Kern)
5 Ausführungsgang der Talgdrüse
6 Haarwurzel (Wurzelscheide)
7 Straffes Bindegewebe
[drucken] Drucken
[zum interaktiven Modus]