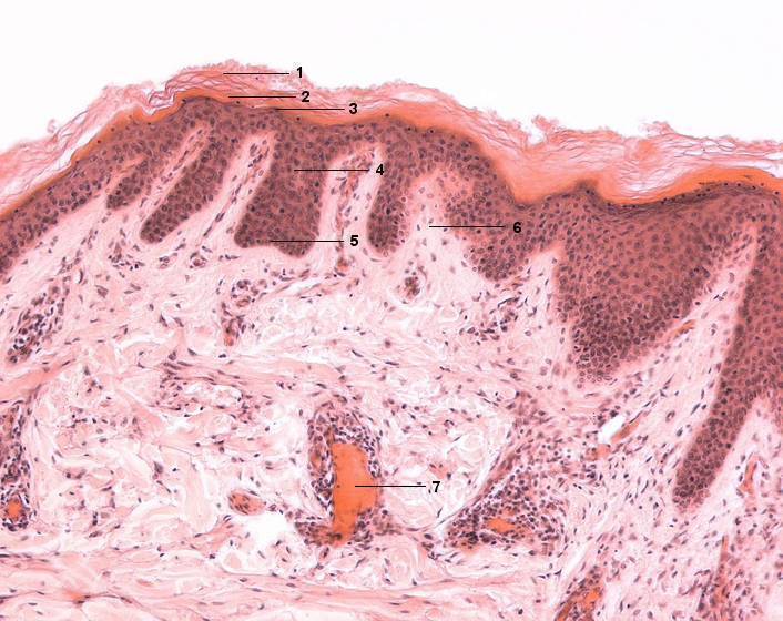
1 Stratum corneum
2 Stratum lucidum
3 Stratum granulosum
4 Stratum spinosum
5 Stratum basale
6 Corium, Papille des Stratum papillare
7 Venenanschnitt
[drucken] Drucken
[zum interaktiven Modus]