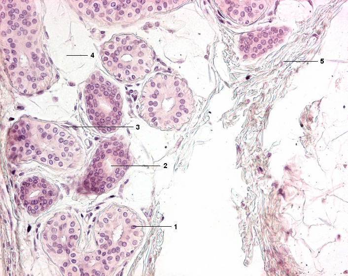
1 Sezernierendes Endstück einer Schweißdrüse
2 Ausführungsgang (Lumen)
3 Myoepithelzelle
4 Univakuoläres Fettgewebe
5 Lockeres Bindegewebe
[drucken] Drucken
[zum interaktiven Modus]