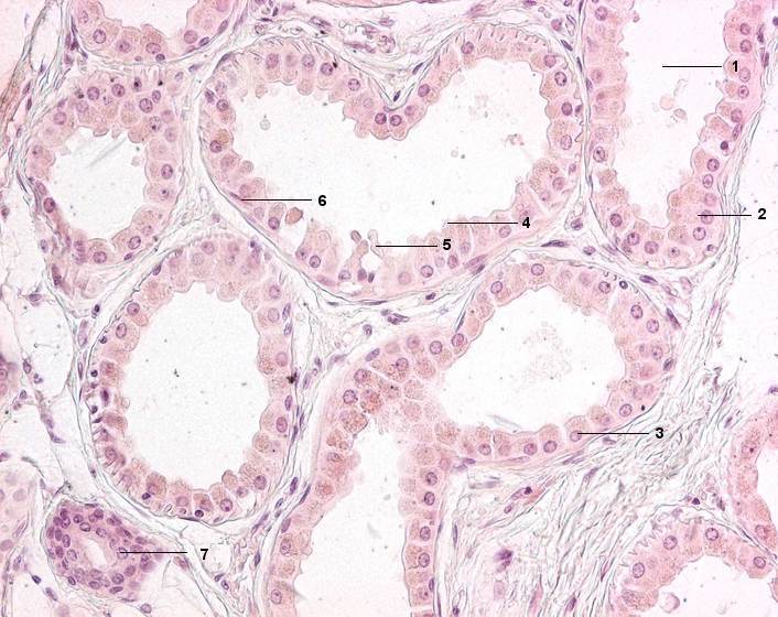
1 Apokrine Duftdrüse (Lumen)
2 Hochprismatische Zelle
3 Isoprismatische Zelle
4 Zytoplasmakuppen mit Sekretvakuolen
5 Apokrine Extrusion
6 Myoepithelzelle
7 Ekkrine Schweißdrüsen
[drucken] Drucken
[zum interaktiven Modus]