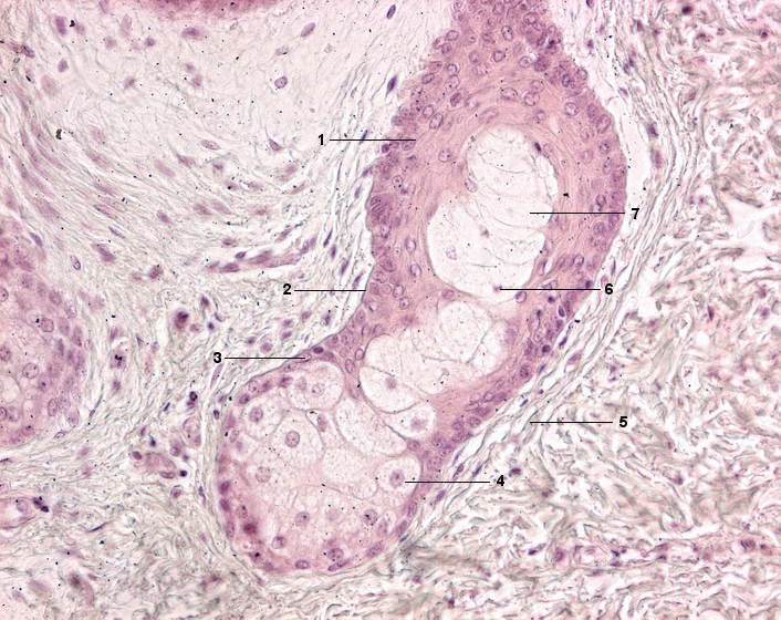
1 Holokrine Talgdrüse
2 Basalmembran
3 Stammzelle (Basalzelle, Ersatzzelle)
4 Tochterzelle mit Sekretvakuolen
5 Kollagene Fasern
6 Pyknotischer Kern
7 Talggefüllte Zelle
[drucken] Drucken
[zum interaktiven Modus]