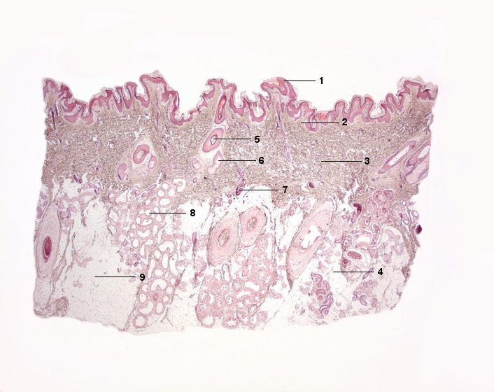
1 Epidermis
2 Corium, Stratum papillare
3 Corium, Stratum reticulare
4 Subkutis
5 Haar, quer
6 Holokrine Talgdrüse
7 Ekkrine Schweißdrüse
8 Apokrine Duftdrüse
9 Fettgewebe in der Subkutis
[drucken] Drucken
[zum interaktiven Modus]