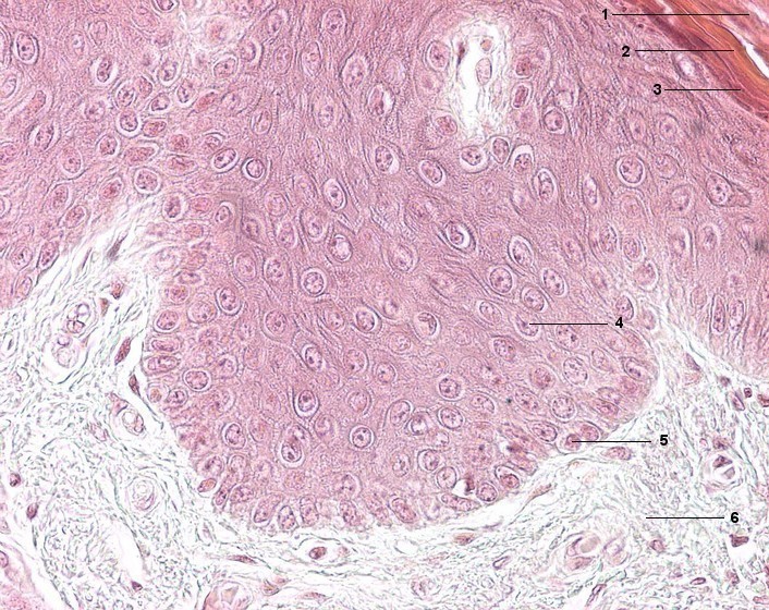
1 Stratum corneum
2 Stratum lucidum
3 Stratum granulosum
4 Stratum spinosum
5 Stratum basale
6 Corium, Stratum papillare
[drucken] Drucken
[zum interaktiven Modus]