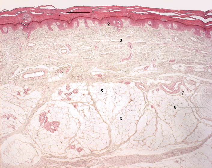
1 Epidermis
2 Corium (Stratum papillare)
3 Stratum reticulare
4 Arterie
5 Ekkrine Schweißdrüsen
6 Subkutis (Fettgewebe)
7 Vater-Pacini-Körper (Innenkolben)
8 Perineurale Kapsel
[drucken] Drucken
[zum interaktiven Modus]