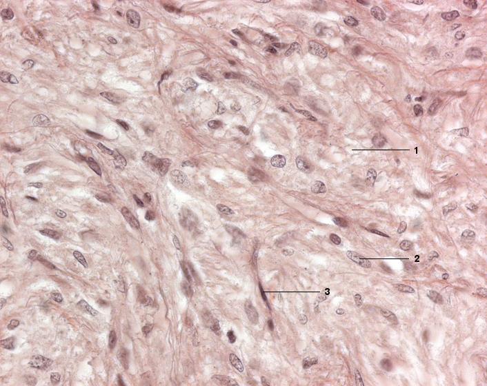
1 Marklose Nervenfasern (quer)
2 Pituizyt (Zellkern)
3 Fibrozyt
[drucken] Drucken
[zum interaktiven Modus]