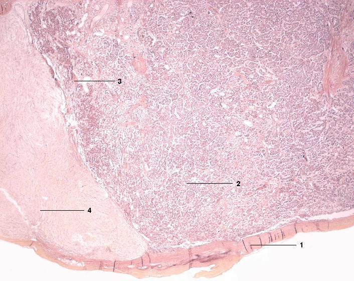
1 Bindegewebige Kapsel
2 Adenohypophyse (Pars distalis)
3 Pars intermedia
4 Neurohypophyse (Pars nervosa)
[drucken] Drucken
[zum interaktiven Modus]