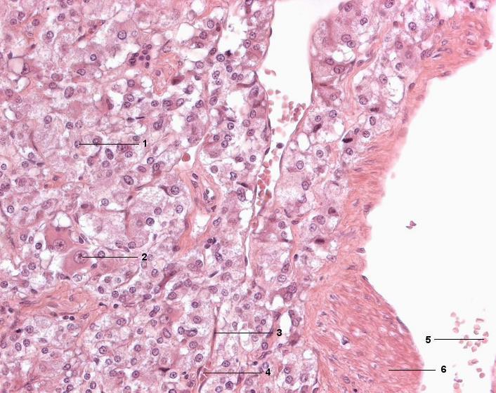
1 Chromaffine Zelle
2 Multipolare Ganglienzelle
3 Bindegewebsseptum
4 Kapillare im Bindegewebsseptum
5 Drosselvene (Lumen) mit Erythrozyten
6 Muskelpolster (glatte Muskelzellen)
[drucken] Drucken
[zum interaktiven Modus]