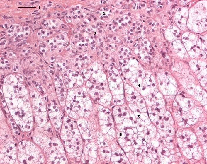
1 Organkapsel (faserreiches Bindegewebe)
2 Nebennierenrinde (Zona glomerulosa)
3 Kapillare (längs)
4 Zona fasciculata
5 Bindegewebsseptum, Fibrozyt
6 Wabiges Zytoplasma
[drucken] Drucken
[zum interaktiven Modus]