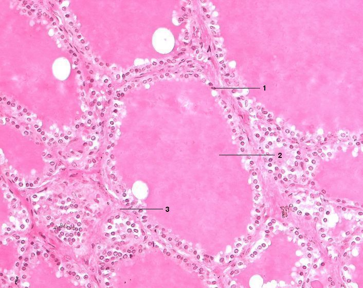
1 Follikelepithelzelle
2 Kolloid
3 Stroma (Bindegewebe)
[drucken] Drucken
[zum interaktiven Modus]