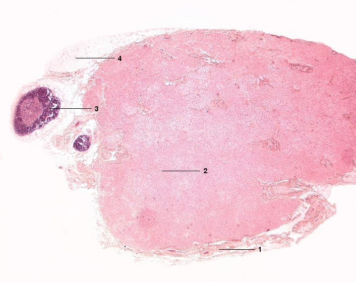
1 Organkapsel
2 Parenchym
3 Thymusgewebe
4 Univakuoläres Fettgewebe
[drucken] Drucken
[zum interaktiven Modus]