Voriges Präparat Index Nächstes Präparat   [a] [b] [c] [d] [e] [f]
 

Präparat 88: Nebenniere (Glandula suprarenalis), H.-E.

[Bild]
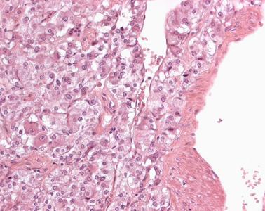
Medulla glandulae suprarenalis

Nebennierenmark, besteht aus Nestern und Strängen polygonaler Zellen, sich sich durch Chromsalze darstellen lassen (chromaffine Zellen) und von weiten Kapillaren umgeben sind. Im Nebennierenmark unterscheidet man die Adrenalin bildenden A-Zellen, die ca. 80% der Zellen ausmachen, und die Noradrenalin-bildenden N-Zellen. Das Nebennierenmark entsteht aus Zellen der Neurallleiste (Sympathikoblasten), die in die aus dem Mesoderm stammende Anlage der Nebennierenrinde einwandern.

Zona fasciculata

mittlere breite Schicht der Nebennierenrinde bestehend aus parallel angeordneten Zellsäulen, die senkrecht zur Organoberfläche stehen. Das helle Zytoplasma der großen polygonalen Zellen ist reich an Lipoiden und die Zellkerne sind locker strukturiert. Hier werden Glukokortikoide (Kortison, Kortisol) und in geringen Mengen weibliche und männliche Geschlechtshormone produziert.

Katecholamine

biogene Amine, die sich von der Aminosäure Tyrosin ableiten; z.B. Adrenalin, Noradrenalin oder Dopamin.

Das Nebennierenmark (Medulla glandulae suprarenalis) wird überwiegend von chromaffinen Zellen gebildet. Sie werden aufgrund ihrer Braunfärbung bei Behandlung mit Chromsalzen als chromaffin bezeichnet. Die Zellen besitzen ein helles, leicht granuliertes Zytoplasma und eine oder mehrere große Vakuolen (größer als die der Zona fasciculata). Die Zellen des Nebennierenmarkes produzieren Katecholamine (z.B. Adrenalin).