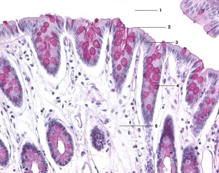
1 Darmlumen
2 Bürstensaum
3 Hochprismatische Epithelzelle (Enterozyt)
4 Becherzelle
5 Lamina propria mucosae
[drucken] Drucken
[zum interaktiven Modus]