Voriges Präparat Index Nächstes Präparat   [a] [b] [c]
 

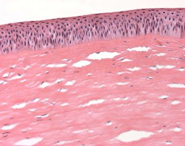
Präparat 2: Mehrschichtiges unverhorntes Plattenepithel, Cornea (Hund), H.-E.

[Bild]
Cornea

lichtdurchlässige Hornhaut des Auges; sie ist annähernd rund und weist im Scheitel eine sphärische Krümmung auf. Sie begrenzt die vordere Augenkammer und dient der Lichtbrechung.

Mehrschichtig unverhorntes Plattenepithel

Epithel innerer Körperoberflächen, die starken mechanischen Belastungen ausgesetzt sind, z.B. Mundhöhle, Ösophagus, Analkanals und Vagina. Es besteht aus mehreren Schichten, deren Zellen unterschiedliche Formen besitzen: Die Zellen des Stratum basale sind hochprismatisch, relativ klein und dicht gepackt, die Zellen des Stratum spinosum sind polygonal geformt und besitzen stachelig erscheinende Ausläufer (daher der Begriff „Stachelzellschicht“. Die Basalzellschicht und die „Stachelzellschicht bilden zusammen die Proliferationszellschicht. Von der Basalzellschicht aus wandern die Zellen an die Oberfläche und verändern dabei ihre Form. Die Zellen der Superfzialschicht sind abgeplattet (daher Plattenepithel). Die Zellkerne sind gut erhalten und bis in die obersten Zellschichten zu erkennen. Das Plattenepithel ist durch Bindegewebspapillen eng mit der Lamina propria verzahnt.

Einschichtiges Plattenepithel

Aus einer Schicht bestehende Lage von Zellen, die in der Aufsicht eine polygonale oder gezackte Begrenzung aufweisen und einer Basallamina aufsitzen. Im histologischen Schnitt sind diese Zellen sehr flach, beim Endothel ist der Zytoplasmasaum so gering, dass häufig nur die Kerne zu erkennen sind.

Einschichtiges Plattenepithel

Aus einer Schicht bestehende Lage von Zellen, die in der Aufsicht eine polygonale oder gezackte Begrenzung aufweisen und einer Basallamina aufsitzen. Im histologischen Schnitt sind diese Zellen sehr flach, beim Endothel ist der Zytoplasmasaum so gering, dass häufig nur die Kerne zu erkennen sind.

Substantia propria corneae

innere Schicht der Cornea aus Bindegewebe mit Fibroblasten, Grundsubstanz und Kollagenfasern. Nach vorne liegt ihr die Lamina limitans anterior (Bowman-Membran) auf, nach hinten die Lamina limitans posterior (Descemet-Membran). Die Cornea ist frei von Blutgefäßen.

Kammerwasser

Inhalt der Augenkammern; klare und farblose Flüssigkeit, die durch Ultrafiltration und aktive Sekretion durch die Ziliarfortsätze entsteht. Der Abfluß erfolgt im Kammerwinkel, über die Fontana-Räume in den Schlemm-Kanal und die Kammerwasservenen. Teilweise findet auch eine Rückresorption statt. Das Kammerwasser entspricht in seiner Zusammensetzung weitgehend dem Liquor cerebrospinalis, es enthält Elektrolyte, Proteine, Kohlenhydrate, Enzyme, Hyaluronsäure sowie Ascorbinsäure und dient der Ernährung von Linse und Hornhaut.

In der geringsten Vergrößerung dieses Präparats von der Hornhaut des Auges (Cornea) erkennt man eine innere konkave und eine äußere konvexe Seite. Auf der konvexen Seite befindet sich mehrschichtiges unverhorntes Plattenepithel. Die konkave Seite begrenzt ein einschichtiges Plattenepithel. Dazwischen liegt das Stroma corneae, die Substantia propria corneae, die 90% der Cornea ausmacht. Die Hornhaut ist frei von Blutgefäßen und besitzt viele freie Nervenendigungen, die afferent über den Nervus ophthalmicus, einem Ast des Nervus trigeminus (V. Hirnnerv) den Lidschlussreflex vermitteln. Die Cornea wird von hinten durch das Kammerwasser ernährt, lateral durch Blutgefäße der Konjunktiva. Vorn dient der Tränenfilm dem Schutz vor Austrocknung und der Versorgung des Epithels mit Nährstoffen.