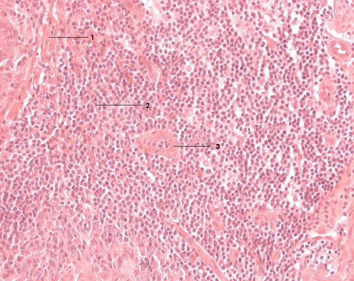
1 Lamina muscularis mucosae
2 Lymphatisches Gewebe
3 Hochendotheliale Venole
[drucken] Drucken
[zum interaktiven Modus]