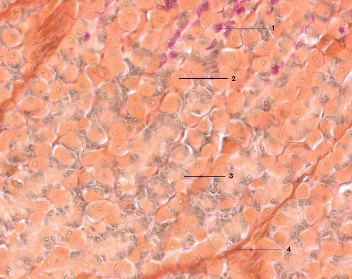
1 Nebenzelle
2 Belegzelle (Zellkern)
3 Hauptzelle
4 Bindegewebszug
[drucken] Drucken
[zum interaktiven Modus]