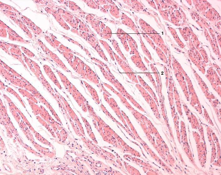
1 Tunica muscularis, Bündel glatter Muskelzellen
2 Bindegewebszüge
[drucken] Drucken
[zum interaktiven Modus]