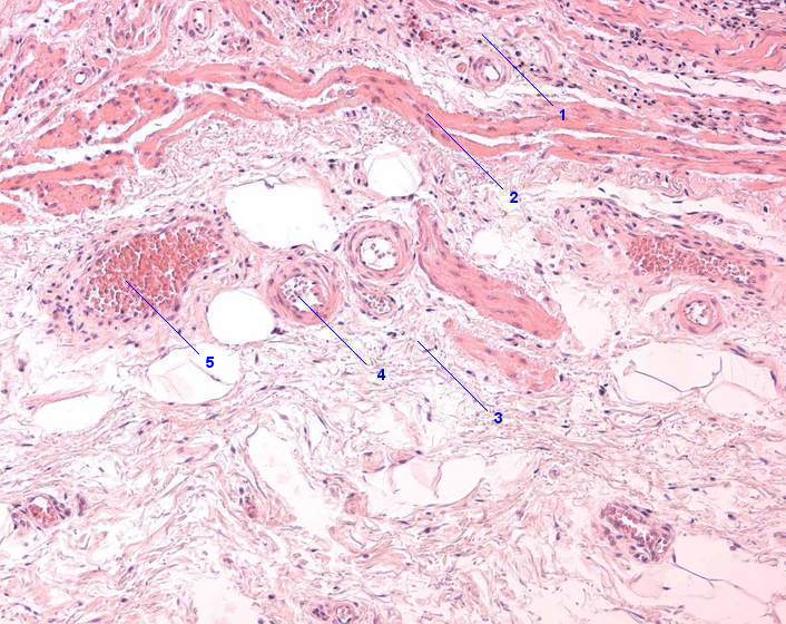
1 Lamina propria mucosae
2 Lamina muscularis mucosae
3 Tela submucosa
4 Arteriole
5 Venole mit Erythrozyten
[drucken] Drucken
[zum interaktiven Modus]