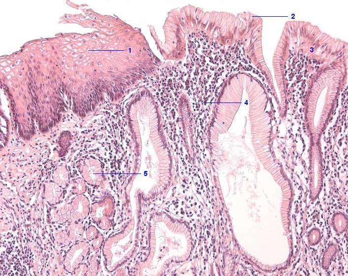
1 Ösophagus, unverhorntes Plattenepithel
2 Kardia, hochprismatisches Epithel
3 Foveola gastrica
4 Kardia, Lamina propria mit Lymphozyten
5 Glandula cardiaca
[drucken] Drucken
[zum interaktiven Modus]