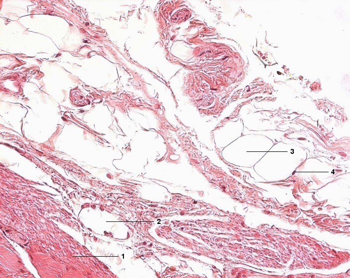
1 Tunica muscularis, Stratum longitudinale
2 Tunica adventitia, Venole
3 Univakuoläre Fettzelle, Fettvakuole
4 Zellkern der Fettzelle
[drucken] Drucken
[zum interaktiven Modus]