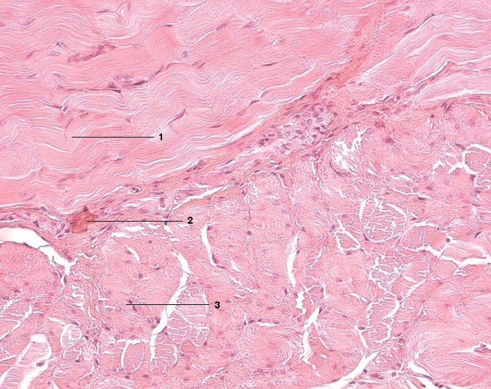
1 Innere Ringmuskelschicht
2 Ganglienzelle des Plexus myentericus
3 Äußere Längsmuskelschicht
[drucken] Drucken
[zum interaktiven Modus]